505 122 580 | ul. Mickiewicza 39, 05-500 Piaseczno [email protected]

 27-letni mężczyzna zgłosił się do lekarza urologa na rutynowe badanie USG jąder, w którym uwidoczniono drobną, jednorodną zmianę o wymiarach 5 × 4 mm w prawym jądrze, z widocznym ukrwieniem w badaniu Dopplerowskim. W celu dalszej diagnostyki pacjent został skierowany do pracowni Quadia na dedykowane badanie MR jąder z podaniem środka kontrastowego.

W pierwszym badaniu MR opisano między innymi prawe jądro o wymiarach 29 × 28 × 43 mm, o zaokrąglonym kształcie. W przednio-przyśrodkowej części jądra stwierdzono dobrze odgraniczony obszar o średnicy 4 mm, wykazujący osłabiony sygnał w obrazach T2-zależnych, silną restrykcję dyfuzji oraz wczesne, intensywne wzmocnienie kontrastowe – obraz w pierwszej kolejności sugerował charakter nowotworowy. Stwierdzono śladową ilość płynu w osłonkach jądra, najądrze niepowiększone. Powrózki nasienne obustronnie bez cech żylaków, a widoczne węzły chłonne niepowiększone, bez limfadenopatii. Zalecano weryfikację biopsyjną.

Z wynikiem badania pacjent wrócił do lekarza prowadzącego, który zdecydował o oszczędzającej jądro tumorektomii. Badanie histopatologiczne potwierdziło guz z komórek Leydig (Leydig cell tumour) we wczestym stadium pT1. Pacjentowi zlecono badanie genetyczne pod kątem amplifikacji genu MDM2 – wynik był negatywny.

Obrazy w sekwencjach T2-zależnych w płaszczyźnie osiowej. Widoczna zmiana w jądrze prawym. 

Obrazy w sekwencjach T2-zależnych w płaszczyźnie czołowej. Widoczna zmiana w jądrze prawym. 

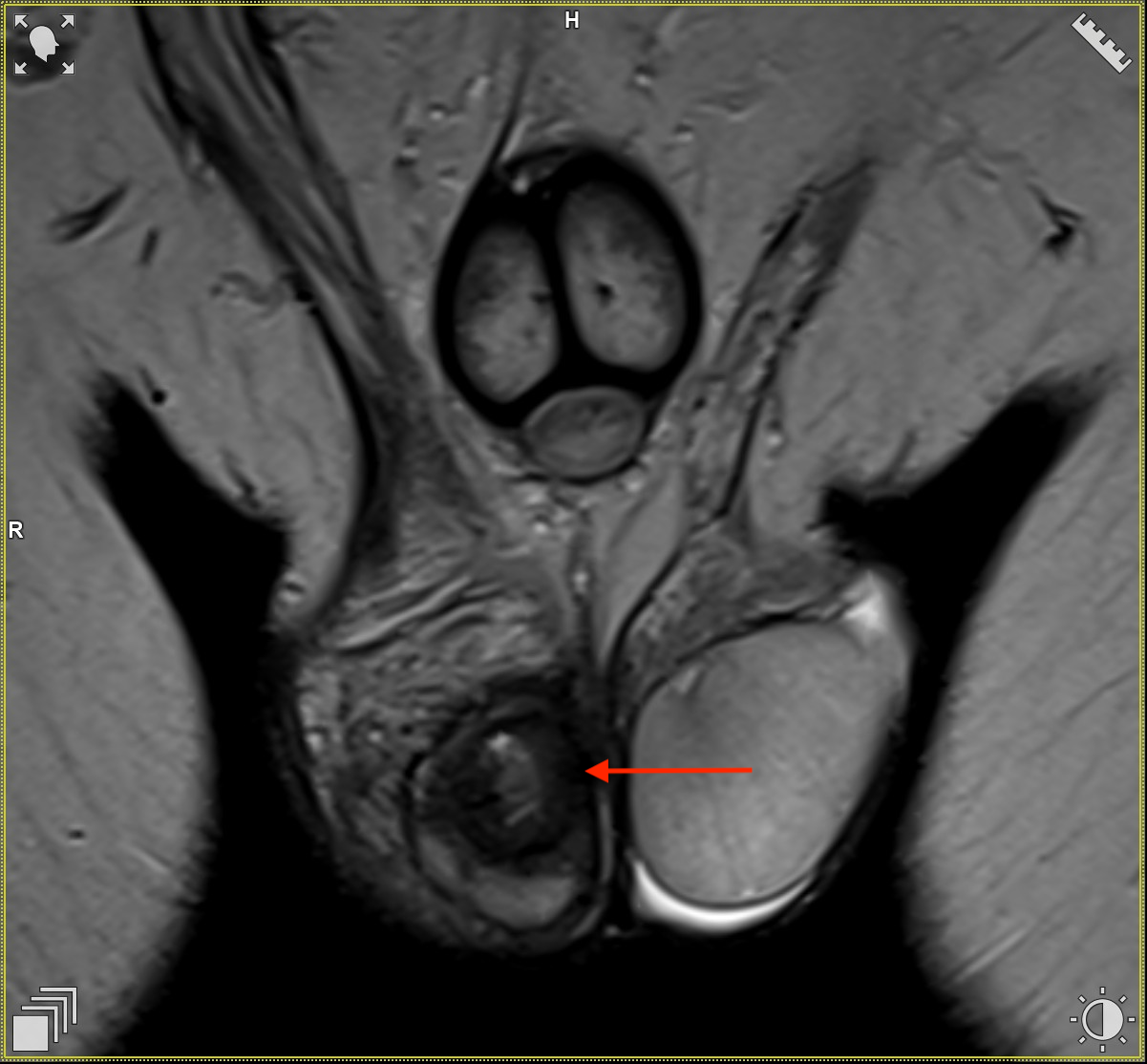
W kontrolnym USG po 3 miesiącach ponownie opisano litą zmianę w prawym jądrze, tym razem o wymiarach 15 × 15 mm, ale bez widocznego ukrwienia. Pacjent został ponownie skierowany na badanie MR jąder. W drugim badaniu opisano prawe jądro o wymiarach 20 × 21 × 38 mm, o nieregularnym kształcie. W części centralnej stwierdzono obszar o wymiarach 15 × 14 × 16 mm, z osłabionym sygnałem w T2, centralnym przejaśnieniem, silną restrykcją dyfuzji i wzmocnieniem kontrastowym na obwodzie – obraz w pierwszej kolejności sugerował ropień lub zmiany pozabiegowe po resekcji. W okolicy górnego bieguna, podtorebkowo, widoczne były drobne obszary płynowe do 6 × 3 × 3 mm. Płyn w osłonkach śladowy, najądrze niepowiększone, powrózki bez żylaków, węzły chłonne bez limfadenopatii.

Przypadek ten pokazuje, że badanie MR jąder umożliwia nie tylko precyzyjną diagnostykę początkową drobnych zmian nowotworowych, ale także skuteczne monitorowanie skuteczności leczenia i różnicowanie zmian pozabiegowych od nawrotu choroby.

Dedykowane MR z kontrastem pozwala na dokładną ocenę cech sygnałowych, restrykcji dyfuzji i dynamiki wzmocnienia, co jest kluczowe w przypadku rzadkich guzów jąder, takich jak Leydig cell tumour. Regularne badania obrazowe, w tym MR, odgrywają istotną rolę w opiece pooperacyjnej, umożliwiając wczesne wykrycie powikłań, takich jak ropień czy nawrót, przy jednoczesnym oszczędzaniu zdrowej tkanki jądra i unikaniu niepotrzebnych interwencji.

Obrazy w sekwencjach T2-zależnych w płaszczyźnie osiowej. Widoczna zmiana po-operacyjna w jądrze prawym. 

Obrazy w sekwencjach T2-zależnych w płaszczyźnie czołowej. Widoczna zmiana po-operacyjna w jądrze prawym. 

Pin It on Pinterest

Share This